Ante la falta de piezas dentales, el tratamiento protético es la elección ideal para devolver la estética y función perdidas.
Existen distintos tipos de prótesis dentales que tienen una indicación precisa para cada caso.
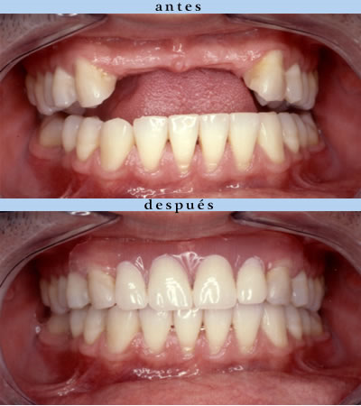
Si solo es necesario reponer la corona de una pieza dentaria y se puede conservar en estado de salud su raíz, la prótesis indicada es el perno y corona. Este tipo de prótesis es fija, si este tratamiento es necesario en más de una pieza ya sean contiguas o con brechas desdentadas de por medio, se deberá planificar un puente o férula fijo, que no es más que varias coronas unidas.
Las alternativas, en los casos que no fuera posible realizar prótesis fija o implantes, serán la prótesis total de acrílico removible o la prótesis parcial removible.
Las prótesis parciales podrán tener un esqueleto metálico (Cromo Cobalto) o ser de material flexible, (Acrílico o Nylon) estas últimas resultan más livianas y estéticas.
